センター北駅前歯科|神奈川県横浜市都筑区の歯医者・歯科医院。土日も診療、夜間診療(平日夜7時まで)も実施。

センター北駅前歯科の矯正歯科

目立ちにくく
きれいな歯並び
素敵な笑顔

  • 無料で
    治療結果を
    シミュレーション
  • 大人も子供
    も対応
  • 土日も診療
  • 矯正実績年間100件以上
  • インディアナ大学医学部解剖学 
    顎顔面頭蓋部臨床学部
    認定医 高井 雄太

このようなお悩みは
ありませんか?

  • 他院で
    マウスピース矯正では
    治せない歯並びだと
    いわれた
  • 出っ歯/受け口/開咬/
    叢生/すきっ歯
    直したい
  • ワイヤーの
    矯正治療は
    目立つから嫌だ
  • 他の病院で
    矯正カウンセリングを
    受けたが別の先生の
    意見が聞きたい
  • 環境が綺麗な医院で
    治療を受けたい
  • 分割で費用を支払える
    医院で治療を受けたい
当院であればそのお悩みを
解決できます!
  • 年間100件の矯正の実績、
    院内でも矯正装置を作成

    当院では、マウスピース矯正専門医院として医院内で矯正装置の作成もできます。その分外注費をさげることで治療費を抑え、早期かつ高い精度で矯正をご実施いただけます。
    もちろんワイヤー矯正の経験も豊富で難症例や治療中のリカバリーも安心です!
  • 無料で、3Dシミュレーションで
    治療後を具体的にイメージ

    当院はiTero element(アイテロ・エレメント)を2台所有しており、リアルタイムに3Dの歯形を表示しながら説明をいたします。より正確な歯形がとれるため、精密な矯正結果の可視化や、治療精度の向上に役立てます。
    また、しりこんの型取りがなくなるため、患者様へのお身体への負担も少ないです。
  • 高額な治療が
    最適ではありません。
    患者さまに合う計画を提示します。

    患者さまが治療費で不安に思うことがないよう、当院では初診の相談時に治療終了までにかかる治療費を明確に提示します。子供の矯正の場合、保険診療として適用される場合もございます。無料相談もありますので、お気軽にご相談ください。
    お支払いに関しても、各種クレジットカードでのお支払い(自費治療の場合のみ、全顎矯正なら12分割まで無利子)、デンタルローン(3回〜84回)、医療費控除をお使いいただけます。
    また、当院には歯科技工所を併設し外注コストを下げ、患者さまへの治療費を抑えるよう努力しています。また「一生に一度の歯科治療、再発させない歯科治療」を目指し、保証制度も他院に比べ長期間に設定しています。

当院の矯正治療メニュー

金属のワイヤーを使用せず、
歯をキレイにならべる方法があります
マウスピース型
矯正装置インビザライン
Invisalign

マウスピース矯正の中でも
信頼できるブランド「インビザライン」
マウスピース矯正とは通常の矯正装置と異なり、装置が取り外し式で、目立ちにくいのが特徴的です。
マウスピース矯正の中でも信頼できるブランド「インビザライン」は米国アライン・テクノロジー社により1999年に提供をはじめたマウスピース型カスタムメイド矯正歯科装置です。現在、世界100カ国以上の国々で提供され、これまでに1100万人を超える方々に選ばれています。

インビザラインは
このような方にお勧め

  • なるべく周囲に気付かれず歯列矯正をされたい方
  • 普段どおりに美味しい食事を楽しみたい方
  • 外せない装置に不安を感じる方
  • 決められた時間、装置をきちんとつけていられる方
  • 金属アレルギーが心配な方
  • 何回も通院する時間がない方
  • 信頼できる矯正器具をつかってキレイに治したい方
invisalign

患者様の
負担が少ない矯正

インビザライン以外にも、マウスピース型の矯正装置はいくつか存在します。どれもほぼ同じシステムなのですが、1点、他の装置と大きく違うことがあります。
それは、「患者様の負担度合い」です。
マウスピースを作成するため、治療開始時に歯型を採るのですが、インビザラインの場合、基本的に1回歯型を採って(もし、ズレが発生しても2~3回)、3次元画像化技術とCAD/CAM技術により各ステージのマウスピースをまとめて作製しお渡しします。
そのため来院回数(6~8週間に1回のペース)を減らすことができます。
インビザライン以外のシステムの場合、約2~3週間のペースで来院し、その都度、歯型を採り、新しいマウスピースを作製する必要がありますので、患者様にはそれなりの負担となります。

インビザライン矯正の
症例紹介

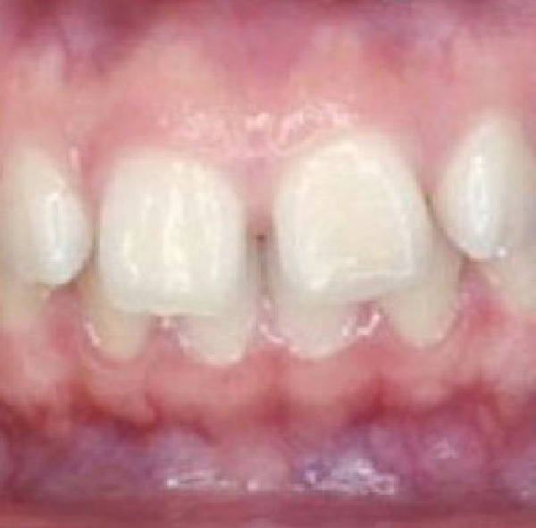
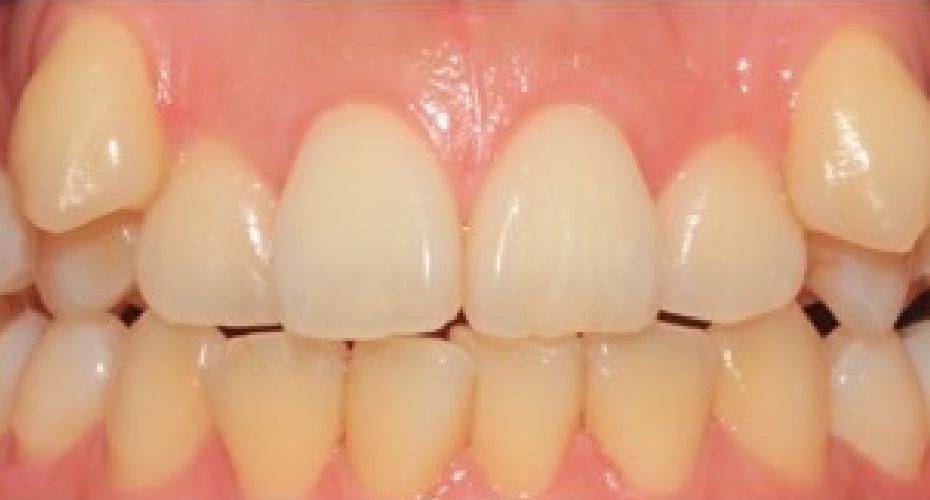
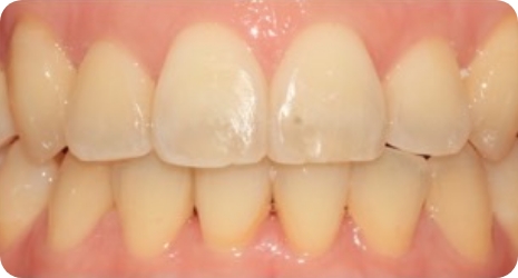
成人矯正の症例紹介

  • Before
  • After
治療内容 成人インビザライン矯正
治療期間 1年半〜2年半
治療費 85万円(税抜)
治療のリスク 歯の移動に伴う知覚過敏、歯肉退縮、歯髄炎を起こす可能性があります。

インビザラインのメリット

  • 取り外しが
    できて衛生的
  • 透明
    見えない
  • 金属アレルギー
    の方も安心
  • 違和感や
    痛みが少ない
  • 通院回数
    少ない
  • 食べたいものが
    食べられる
  • 傷や口内炎
    できにくい
  • ワイヤー
    必要としない

インビザラインと
その他マウスピースとの違い

  • 治療経過を事前に
    シミュレーションできる
    治療後の歯並びだけでなく、治療中の進行状況も確認できるため、不安やストレスを軽減することができます。仕上がりのイメージが明確になることで、患者様ご自身の治療への意欲も保ちやすくなるのが特長です。
  • 豊富な治療実績
    世界中で支持されている
    インビザライン治療は、すでに世界100カ国以上で1,100万人を超える人々に利用されており、信頼性の高い治療法とされています。治療技術や認定制度に関する明確なガイドラインが整備されている為、安心して治療を受けられる仕組みとなっています。
  • 利用している医院が多い 引っ越しや海外移住で通院先が変わっても安心です。インビザラインは対応している歯科医院が多いため、新しい土地でも治療をスムーズに引き継いでもらえる可能性が高くなっています。

※インビザラインについて

  • マウスピース型矯正装置(インビザライン)は医薬品医療機器等法(薬機法)の承認を受けていない未承認医薬品です。
  • マウスピース型矯正装置(インビザライン)はアライン社の製品であり、そこを介して⼊⼿しています。
  • 国内にもマウスピース型矯正装置として医薬品医療機器等法(薬機法)の承認を受けているものは複数存在します。
  • マウスピース型矯正装置(インビザライン)は1998年に FDA(⽶国⾷品医薬品局)により医療機器として認証を受けています。
  • マウスピース型矯正⻭科装置(インビザライン)は完成物薬機法対象外の矯正⻭科装置であり、承認薬品を対象とする医薬品副作⽤被害救済制度の対象外となる場合があります。

まずは無料の
矯正相談に
お越し下さい

患者様のご要望に沿って、
最適な治療法をご提案します
成人ワイヤー矯正adult‑type swallowing

最も歴史があり、技術が確立された
安定性の高い矯正治療
当院では、基本的にはマウスピース矯正を中心に治療を進め、歯の動きにくい部分に関しては、必要に応じてワイヤーを併用することで患者さまのご負担をできる限り軽減いたします。
歯に「ブラケット」と呼ばれる装置をつけ、そこにワイヤーを通して少しずつ力を加えることで、歯を理想的な位置に動かしていきます。
経験豊富な歯科医師が患者様一人ひとりのお口の状態やご希望を丁寧にお伺いし、最適な治療方法をご提案いたします。

当院の成人矯正の特徴

  • 目立ちにくい矯正装置

    皆様がイメージされている矯正装置は金属色が目立つものだと思います。
    この金属色が気になり、なかなか矯正治療に踏み出すことができなかった方も多かったと思います。当院では金属色の部分を半透明にした装置を利用しておりますので、「金属色」に抵抗があった方でも安心です。また、ワイヤー部分を目立ちにくくしている装置もご用意しております。
  • 裏側(舌側)矯正
    行っております

    また、歯の「裏側」に装置を装着する「裏側(舌側)矯正」も行っております。画像のように装置を付けますので、治療中、他人に気づかれにくくなります。
    ご紹介した装置の中で「目立ちにくい」装置になります。裏側矯正は誰にも気づかれにくい矯正治療のため、女性を中心に多くの方から支持頂いております。
  • 可能な限り歯を残す
    非抜歯矯正治療

    「できるだけ歯を残したい」というご希望に対し、当院でも歯の保存を重視し、可能な限り非抜歯での治療を検討しています。
    ただし、歯並びや咬み合わせによっては抜歯が必要な場合もあり、診察のうえで最適な方法をご提案いたします。
    また、近年は「インプラント矯正」により、非抜歯で対応できるケースも増えてきています。

前歯だけのピンポイントでの矯正を
希望される患者様が増えてきています
部分矯正Minor Tooth Movement

前歯だけを矯正したい、
そんなニーズに応える部分矯正
「前歯の隙間だけを矯正したい」「前歯のねじれを改善したい」などピンポイントでの矯正を希望される患者様が最近では増えてきています。当院ではそのようなご要望に応え「部分矯正」を行っております。歯を全体的に動かす本格矯正と比べ「費用を抑えることができる」「治療期間が短くできる」などのメリットがあります。
又、当院では目立ちにくい裏側の部分矯正にも対応しております。

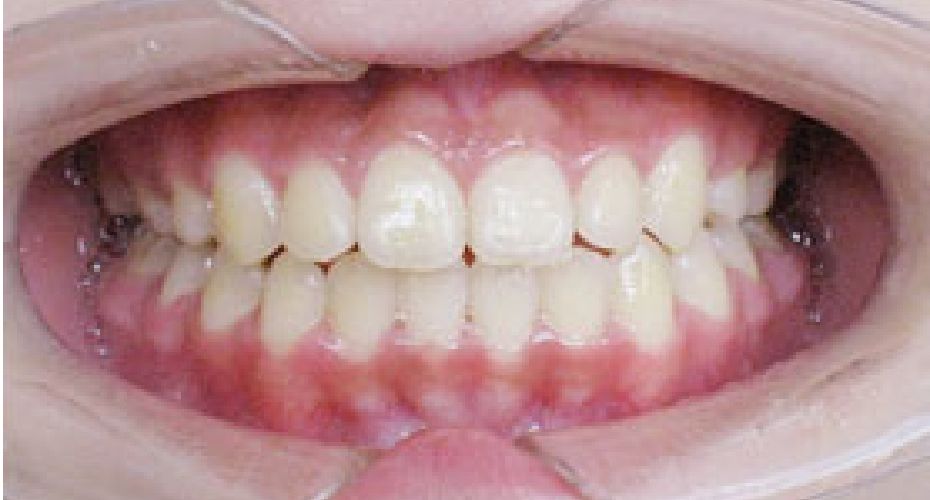
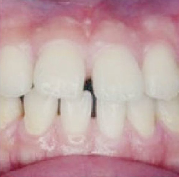
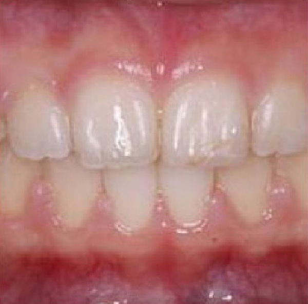
部分矯正の症例紹介

CASE 1

  • Before
  • After
治療内容 部分矯正
治療期間 6〜9ヶ月
治療費 約30万円(税抜)
治療のリスク 治療の初期段階では痛みや不快感が生じやすくなりますが、1週間前後で慣れます。

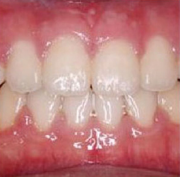
CASE 2

  • Before
  • After
治療内容 部分矯正
治療期間 6〜9ヶ月
治療費 約30万円(税抜)
治療のリスク 治療の初期段階では痛みや不快感が生じやすくなりますが、1週間前後で慣れます。

まずは無料の
矯正相談に
お越し下さい

成長に合わせた、最適なタイミングでの矯正を小児矯正early phase orthodontic treatment

永久歯が生え揃うまでに
歯が生えるスペースを確保する治療
お子様の矯正治療に関して、親御さんにお伝えしたいことは、少しでも歯並びが気になりだしたら、治療するしないにかかわらずまずはお子様のお口を見せてくださいということです。
早い時期にしっかりとした検査を行う事でお子さんにとって理想の治療時期を予測することができたりもしますし、矯正治療ではなく、咬合誘導と呼ばれる簡易な治療で対応できることもあります。

小児矯正の症例紹介

  • Before
  • After
治療内容 小児矯正
治療期間 1年
その後は生え変わりを見ながら、必要があれば再度介入していきます。
治療費 約60万円(税抜)
治療のリスク 矯正施術中では痛みが生じる事がありますが、1週間前後で慣れます。

咬合誘導とは?

子供の歯から大人の歯に生え替わるとき、ささいなボタンのかけ違いで歯並びが悪くなってしまうことがあります。その徴候を早めに見つけることで、簡単・短期間で歯並びを整えることが可能となります。これを「咬合誘導」と言います。
咬合誘導は大人の歯がすべて生えてからの矯正とは違い、抜歯したり、歯を動かしたりといったものではありません。早い時期に適切な咬合誘導を行うことで、歯並びが安定して後戻りしにくくなり、場合によっては本格矯正治療が必要なくなることもあります。
均整のとれた適切な歯並びは「見た目」だけでなく、「集中力や持続力」などお子様の生活全般のレベルアップも期待できるという研究報告が出ていますので、歯並びがおかしいなと思いましたら、治療するしないにかかわらず、まずはお気軽にご相談頂けたらと思います。

「プレオルソ」とは

子どもの歯並びやかみ合わせを改善するために用いられる マウスピース型矯正装置です。主に本格矯正前の筋機能両方や骨格誘導(5〜7歳)や歯の交換期(8〜10歳)で使用します。柔らかい医療用シリコンやポリウレタン素材でできていて、就寝時や自宅でのリラックスタイムに装着して使います。
プレオルソ

よく歯列矯正の治療開始時期について質問を受けるのですが、一般的には小学校低学年が良い時期と言われています。
ただ、治療開始時期は、お子さんの状態によって違います。治療するしないにかかわらず、まずは当院までご相談ください。適切な時期をご提案させて頂きます。

まずは無料の
矯正相談に
お越し下さい

矯正治療の流れ

  • 無料相談

    お悩みやご希望をお聞きします。
    お口の中の3次元的なスキャンデータをとり、シミュレーションをします。
  • 精密検査~カウンセリング

    精密検査の結果をもとに、矯正治療全般に関して詳しくご説明をいたします。
    少しでも疑問点がございましたら、再度ご説明し納得いただいたうえで、治療を開始するかどうかのお返事をいただきます。もちろん、この段階で治療を受けないという選択をしていただいても全く構いません。
  • 治療開始

    歯に装置をつけ、歯に力を加え始めます。骨格、症状は一人ひとり違いますので当然治療装置は患者様にあったものを使います。はじめは痛みや違和感を伴うことがありますが、それらは次第に薄らぎます。
  • 通院

    歯を動かす期間は1~3カ月に1回通院して頂きます。歯の動きを確認したり、装置の調整を行います。治療内容よって異なりますが、15~30分程度お時間をいただきます。
  • 治療終了

    矯正装置を外します。但し、そのまま外しただけですと「後戻り」という現象を起こすため、保定装置(取り外し可能な装置)を装着して頂きます。

    ※保定装置は症例にもよりますが、約1年~3年間(通院は6カ月~1年に1回程度)主治医の指示に従って使用して頂きます。使用しないと後戻り(歯並びが悪い状態に戻ること)を起こし、再度矯正をする必要が出てきます。
  • メンテナンス

    保定装置の使用を確認後、当院のメインテナンスを定期的に受診して頂き、保定装置を終了する時期まで、経過を観察していきます。
説明文は上下にスクロールできます

費用

相談
無料
成人矯正
インビザライン ¥850,000
部分矯正 ¥250,000
~¥450,000
部分矯正(裏側) ¥250,000~
全顎矯正(表側) ¥850,000
全顎矯正(裏側) ¥1,000,000
全顎矯正(裏側)
+インビザライン
¥1,200,0006〜12回まで分割可能
(デンタルローン使用時は84回まで分割可能)
小児矯正
インビザライン ¥700,000
インハウスアライナー
予防矯正
¥400,000
プレオルソ ¥100,000
  • 税抜価格になります。
  • お支払い頂いた治療費は原則としてお返しできません。また、料金は改定される場合がありますので、あらかじめご了承ください。
  • 矯正治療に伴う抜歯・虫歯等の治療は別途料金になります。

まずは無料の
矯正相談に
お越し下さい

医院のご案内

所在地 〒224-0003
神奈川県横浜市都筑区中川中央1丁目27-6
イストアール1F
アクセス センター北駅から徒歩3分
駐車場 近隣にコインパーキングあり(1時間無料)
TEL 045-530-0111
ページトップへ
WEB予約 045-530-0111